ਪੇਸ਼ਕਸ਼ ਡਾ ਅਜੀਤਪਾਲ ਸਿੰਘ ਐਮ ਡੀ
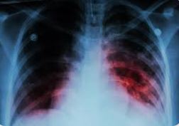
ਤਪਦਿਕ ਜਾਂ ਟੀਬੀ ਇੱਕ ਛੂਤ ਦੀ ਬਿਮਾਰੀ ਹੈ ਜੋ ਆਮ ਤੌਰ ‘ਤੇ ਫੇਫੜਿਆਂ ਨੂੰ ਪ੍ਰਭਾਵਿਤ ਕਰਦੀ ਹੈ ਅਤੇ ਇੱਕ ਬੈਕਟੀਰੀਆਂ ਦੁਆਰਾ ਹੋਣ ਵਾਲੀਆਂ ਹੋਰ ਬਿਮਾਰੀਆਂ ਦੇ ਮੁਕਾਬਲੇ ਦੁਨੀਆ ਭਰ ਵਿੱਚ ਦੂਜਾ ਸਭ ਤੋਂ ਵੱਡਾ ਕਾਤਲ ਹੈ।

ਡਬਲਯੂਐਚਓ ਦੁਆਰਾ ਟੀਬੀ ਬਾਰੇ ਤਾਜ਼ਾ ਰਿਪੋਰਟ ਦੇ ਅਨੁਸਾਰ, ਭਾਰਤ ਟੀਬੀ ਦੇ ਬੋਝ ਵਿੱਚ ਦੁਨੀਆ ਵਿੱਚ ਸਭ ਤੋਂ ਅੱਗੇ ਹੈ।
ਜਦੋਂ ਕਿ ਮਨੁੱਖਾਂ ਵਿੱਚ ਸਭ ਤੋਂ ਵੱਧ ਪ੍ਰਭਾਵਿਤ ਥਾਵਾਂ ਫੇਫੜੇ ਹਨ,ਟੀਬੀ ਹੱਡੀਆਂ ਵਿੱਚ ਵੀ ਹੋ ਸਕਦੀ ਹੈ,ਖਾਸ ਕਰਕੇ ਰੀੜ੍ਹ ਦੀ ਹੱਡੀ ਵਿੱਚ l ਟੀਬੀ ਦੀਆਂ ਹੋਰ ਆਮ thavaਥਾਵਾਂ ਵਿੱਚ ਲਿੰਫ ਨੋਡਸ,ਦਿਮਾਗ ਅਤੇ ਗੁਰਦੇ ਆਦਿ ਸ਼ਾਮਲ ਹਨ। ਅਸਲ ਵਿੱਚ, ਕੋਈ ਵੀ ਅਜਿਹਾ ਅੰਗ ਨਹੀਂ ਹੈ ਜਿਸ ਨੂੰ ਟੀ.ਬੀ ਦੀ ਮਾਰ ਨਹੀਂ ਪੈ ਸਕਦੀ । ਹਾਲਾਂਕਿ, ਅਕਸਰ ਕਿਤਾਬਾਂ ਅਤੇ ਫਿਲਮਾਂ ਵਿੱਚ ਇੱਕ ਭਿਆਨਕ ਬਿਮਾਰੀ ਵਜੋਂ ਦਰਸਾਇਆ ਗਿਆ ਹੈ, ਤਪਦਿਕ ਅੱਜ ਇੱਕ ਬਹੁਤ ਹੀ ਇਲਾਜਯੋਗ ਬਿਮਾਰੀ ਹੈ ਜਿਸ ਬਾਰੇ ਜਾਗਰੂਕਤਾ ਦੀ ਲੋੜ ਹੈ।
ਟੀਬੀ ਅਤੇ ਇਸ ਦੇ ਕਾਰਨ
ਤਪਦਿਕ (ਟੀਬੀ) ਭਾਰਤ ਵਿੱਚ ਇੱਕ ਬਹੁਤ ਹੀ ਆਮ ਇਨਫੈਕਸ਼ਨ ਹੈ ਜੋ ਇੱਕ ਬਹੁਤ ਜ਼ਿਆਦਾ ਛੂਤ ਵਾਲੀ ਬਿਮਾਰੀ ਹੈ l ਇਹ ਬੈਕਟੀਰੀਆ (ਆਮ ਤੌਰ ‘ਤੇ ਮਾਈਕੋਬੈਕਟੀਰੀਅਮ ਟੀਬੀ) ਦੇ ਕਾਰਨ ਹੁੰਦੀ ਹੈ ਅਤੇ ਸਭ ਤੋਂ ਵੱਧ ਫੇਫੜਿਆਂ ਨੂੰ ਪ੍ਰਭਾਵਿਤ ਕਰਦੀ ਹੈ।
ਜਦੋਂ ਕੋਈ ਸੰਕਰਮਿਤ ਵਿਅਕਤੀ ਛਿੱਕ ਜਾਂ ਖੰਘਦਾ ਹੈ,ਤਾਂ ਟੀਬੀ ਦੇ ਬੈਕਟੀਰੀਆ ਵਾਲੇ ਹਵਾ ਦੇ ਕਣ ਆਸਾਨੀ ਨਾਲ ਫੈਲ ਸਕਦੇ ਹਨ ਅਤੇ ਹਰੇਕ ਸੰਕਰਮਿਤ ਵਿਅਕਤੀ ਹਰ ਸਾਲ ਹੋਰ 10 ਲੋਕਾਂ ਨੂੰ ਸੰਕਰਮਿਤ ਕਰ ਸਕਦਾ ਹੈ। ਕਿਉਂਕਿ ਇਹ ਹਵਾ ਰਾਹੀਂ ਫੈਲਦਾ ਹੈ, ਇਹ ਲਾਗ ਬਹੁਤ ਸਾਰੇ ਮਨੁੱਖਾਂ ਵਿੱਚ ਪਾਈ ਜਾਂਦੀ ਹੈ। ਹਾਲਾਂਕਿ, ਜ਼ਿਆਦਾਤਰ ਲੋਕਾਂ ਵਿੱਚ ਇਹ ਗੁਪਤ ਹੈ ਅਤੇ ਇਹਨਾਂ ਵਿੱਚੋਂ ਸਿਰਫ 10% ਲਾਗ ਇੱਕ ਸਰਗਰਮ ਬਿਮਾਰੀ ਵਿੱਚ ਬਦਲਦੀ ਹੈ।
ਗੁਪਤ ਅਤੇ ਕਿਰਿਆਸ਼ੀਲ ਟੀ.ਬੀ
ਡਾਕਟਰ ਆਮ ਤੌਰ ‘ਤੇ ਤਪਦਿਕ ਦੀ ਲਾਗ ਦੀਆਂ ਦੋ ਕਿਸਮਾਂ ਵਿੱਚ ਫਰਕ ਕਰਦੇ ਹਨ – ਗੁਪਤ ਟੀਬੀ ਅਤੇ ਕਿਰਿਆਸ਼ੀਲ ਟੀਬੀ।
ਇਹ ਅੰਦਾਜ਼ਾ ਲਗਾਇਆ ਗਿਆ ਹੈ ਕਿ ਦੁਨੀਆ ਦਾ ਲਗਭਗ ਇੱਕ ਤਿਹਾਈ ਹਿੱਸਾ ਤਪਦਿਕ ਨਾਲ ਸੰਕਰਮਿਤ ਹੈ। ਹਾਲਾਂਕਿ, ਇਸ ਸੰਖਿਆ ਦੀ ਵੰਡ ਪੂਰੀ ਦੁਨੀਆ ਵਿੱਚ ਵੀ ਨਹੀਂ ਹੈ ਕਿਉਂਕਿ ਲਗਭਗ 80 ਪ੍ਰਤੀਸ਼ਤ ਸੰਕਰਮਿਤ ਅਫਰੀਕੀ ਅਤੇ ਏਸ਼ੀਆਈ ਦੇਸ਼ਾਂ ਦੇ ਹਨ।
ਟੀਬੀ ਦੇ ਬੈਕਟੀਰੀਆ ਬਾਰੇ ਖਾਸ ਗੱਲ ਇਹ ਹੈ ਕਿ ਇਹ ਕਿਸੇ ਵਿਅਕਤੀ ਦੇ ਖੂਨ ਦੇ ਪ੍ਰਵਾਹ ਵਿੱਚ ਰਹਿ ਸਕਦਾ ਹੈ ਅਤੇ ਕਿਰਿਆਸ਼ੀਲ ਬਿਮਾਰੀ ਵਿੱਚ ਵਿਕਸਤ ਨਹੀਂ ਹੋ ਸਕਦਾ ਹੈ। ਟੀਬੀ ਲਈ ਟੈਸਟ ਕਰਨ ਦਾ ਸਭ ਤੋਂ ਆਮ ਤਰੀਕਾ ਇੱਕ ਚਮੜੀ ਦੀ ਜਾਂਚ ਦੁਆਰਾ ਹੁੰਦਾ ਹੈ ਜਿਸਨੂੰ ਮੈਨਟੌਕਸ ਟੈਸਟ ਜਾਂ ਟਿਊਬਰਕੁਲਿਨ ਸਕਿਨ ਟੈਸਟ ਕਿਹਾ ਜਾਂਦਾ ਹੈ। ਇਹ ਟੈਸਟ ਸਿਰਫ਼ ਇਹ ਨਿਰਧਾਰਿਤ ਕਰਦਾ ਹੈ ਕਿ ਜਿਸ ਵਿਅਕਤੀ ਦੀ ਜਾਂਚ ਕੀਤੀ ਜਾ ਰਹੀ ਹੈ ਉਸ ਵਿੱਚ ਬੈਕਟੀਰੀਆ ਮੌਜੂਦ ਹੈ ਜਾਂ ਨਹੀਂ, ਅਤੇ ਇਹ ਨਹੀਂ ਕਿ ਇਹ ਇੱਕ ਪੂਰਨ, ਕਿਰਿਆਸ਼ੀਲ ਬਿਮਾਰੀ ਵਿੱਚ ਵਿਕਸਤ ਹੋਇਆ ਹੈ ਜਾਂ ਨਹੀਂ। ਇਸ ਤਰ੍ਹਾਂ, ਭਾਰਤ ਵਰਗੇ ਦੇਸ਼ਾਂ ਵਿੱਚ ਇਸਦਾ ਘੱਟ ਡਾਇਗਨੌਸਟਿਕ ਮੁੱਲ ਹੈ ਅਤੇ ਸਿਰਫ ਕੁਝ ਕਲੀਨਿਕਲ ਸਥਿਤੀਆਂ ਵਿੱਚ ਪ੍ਰਸੰਗਿਕਤਾ ਰੱਖਦਾ ਹੈ।
ਲੇਟੈਂਟ ਟੀਬੀ ਅਕਿਰਿਆਸ਼ੀਲ ਹੈ, ਇਸਦੇ ਕੋਈ ਲੱਛਣ ਨਹੀਂ ਹਨ ਅਤੇ ਇਹ ਛੂਤਕਾਰੀ ਨਹੀਂ ਹੈ, ਜਦੋਂ ਕਿ ਕਿਰਿਆਸ਼ੀਲ ਟੀਬੀ ਇੱਕ ਵਿਅਕਤੀ ਨੂੰ ਬਿਮਾਰ ਬਣਾਉਂਦੀ ਹੈ ਅਤੇ ਬਹੁਤ ਜ਼ਿਆਦਾ ਛੂਤ ਵਾਲੀ ਹੁੰਦੀ ਹੈ। ਇਹ ਜ਼ਰੂਰੀ ਨਹੀਂ ਹੈ ਕਿ ਟੀਬੀ ਦੇ ਬੈਕਟੀਰੀਆ ਨਾਲ ਸੰਕਰਮਿਤ ਹਰ ਵਿਅਕਤੀ ਨੂੰ ਕਿਰਿਆਸ਼ੀਲ ਹੋਵੇ l
ਟੀਬੀ ਦਾ ਫੈਲਣਾ
ਤਪਦਿੱਕ ਇੱਕ ਹਵਾ ਨਾਲ ਹੋਣ ਵਾਲੀ ਬਿਮਾਰੀ ਹੈ ਅਤੇ ਹਵਾ ਵਿੱਚ ਛੱਡੀਆਂ ਗਈਆਂ ਛੋਟੀਆਂ ਬੂੰਦਾਂ ਦੁਆਰਾ ਇੱਕ ਵਿਅਕਤੀ ਤੋਂ ਦੂਜੇ ਵਿਅਕਤੀ ਵਿੱਚ ਫੈਲਦੀ ਹੈ। ਇਹ ਬਹੁਤ ਨਜ਼ਦੀਕੀ ਸੰਪਰਕ ਰਾਹੀਂ ਫੈਲਦਾ ਹੈ ਜਦੋਂ ਕੋਈ ਵਿਅਕਤੀ ਟੀਬੀ ਦੇ ਮਰੀਜ਼ ਵਾਂਗ ਹਵਾ ਵਿੱਚ ਸਾਹ ਲੈਂਦਾ ਹੈ।
ਸਾਡੇ ਵਰਗੇ ਦੇਸ਼ ਵਿੱਚ, ਜਿੱਥੇ ਟੀਬੀ ਦੇ ਬੈਕਟੀਰੀਆ ਬਹੁਤ ਜ਼ਿਆਦਾ ਪ੍ਰਚਲਿਤ ਹਨ, ਇਸ ਬਿਮਾਰੀ ਨੂੰ ਫੈਲਣ ਤੋਂ ਰੋਕਣ ਲਈ ਸਫਾਈ ਬਣਾਈ ਰੱਖਣਾ ਲਾਜ਼ਮੀ ਹੈ। ਮੂੰਹ ਢੱਕੇ ਬਿਨਾਂ ਜਨਤਕ ਥਾਵਾਂ ‘ਤੇ ਥੁੱਕਣਾ ਜਾਂ ਖੰਘਣਾ ਜਾਂ ਛਿੱਕਣਾ l
ਪੂਰੀ ਤਰ੍ਹਾਂ ਨਿਰਾਸ਼ ਨਹੀਂ ਹੋਣਾ ਚਾਹੀਦਾ l ਇਹ ਨੋਟ ਕਰਨਾ ਵੀ ਮਹੱਤਵਪੂਰਨ ਹੈ ਕਿ ਟੀਬੀ ਕਿਸੇ ਸੰਕਰਮਿਤ ਵਿਅਕਤੀ ਦੇ ਕੱਪੜਿਆਂ, ਲਿਨਨ ਜਾਂ ਭਾਂਡਿਆਂ ਨੂੰ ਛੂਹਣ ਨਾਲ ਨਹੀਂ ਫੈਲਦਾ।
ਟੀਬੀ ਸੰਕਰਮਿਤ ਗਰਭਵਤੀ ਔਰਤ ਤੋਂ ਉਸਦੇ ਬੱਚੇ ਨੂੰ ਵੀ ਹੋ ਸਕਦੀ ਹੈ। ਨਾਲ ਹੀ, ਨਾਲ ਏਡਜ਼ ਦੇ ਰੋਗੀ ਟੀਬੀ ਲਈ ਬਹੁਤ ਸੰਵੇਦਨਸ਼ੀਲ ਹੁੰਦੇ ਹਨ ਕਿਉਂਕਿ ਉਹਨਾਂ ਦਾ ਇਮਿਊਨ ਸਿਸਟਮ ਬੈਕਟੀਰੀਆ ਨਾਲ ਲੜਨ ਲਈ ਬਹੁਤ ਕਮਜ਼ੋਰ ਹੁੰਦਾ ਹੈ।
ਟੀਬੀ ਦੇ ਸੰਕਰਮਣ ਦਾ ਜੋਖਮ
ਕੋਈ ਵੀ ਵਿਅਕਤੀ ਟੀਬੀ ਦਾ ਸੰਕਰਮਣ ਕਰ ਸਕਦਾ ਹੈ, ਖਾਸ ਤੌਰ ‘ਤੇ ਜੇ ਉਹ ਪ੍ਰਭਾਵਿਤ ਵਿਅਕਤੀ ਦੇ ਨਾਲ ਬੰਦ ਜਗ੍ਹਾ ਵਿੱਚ ਹੋਵੇ। ਪ੍ਰਭਾਵਿਤ ਵਿਅਕਤੀ ਬੈਕਟੀਰੀਆ ਨਾਲ ਬੂੰਦਾਂ ਨੂੰ ਸਾਹ ਲੈਂਦਾ ਹੈ ਅਤੇ ਇਹ ਬੈਕਟੀਰੀਆ ਫੇਫੜਿਆਂ ਤੱਕ ਪਹੁੰਚ ਜਾਂਦੇ ਹਨ। ਇੱਥੇ, ਇਮਿਊਨ ਸਿਸਟਮ ਬੈਕਟੀਰੀਆ ਨਾਲ ਲੜਦਾ ਹੈ। ਜੇਕਰ ਸਫਲ ਹੋ ਜਾਂਦਾ ਹੈ, ਤਾਂ ਬੈਕਟੀਰੀਆ ਇੱਕ “ਗੁਪਤ” ਰੂਪ ਵਿੱਚ ਰਹੇਗਾ। ਜੇ ਇਮਿਊਨ ਸਿਸਟਮ ਬੈਕਟੀਰੀਆ ਨੂੰ ਰੱਖਣ ਵਿੱਚ ਅਸਫਲ ਹੁੰਦਾ ਹੈ, ਤਾਂ ਟੀਬੀ ਦਾ ਇੱਕ ਸਰਗਰਮ ਕੇਸ ਵਿਕਸਤ ਹੋ ਸਕਦਾ ਹੈ। ਇੱਕ ਵਾਰ ਜਦੋਂ ਬੈਕਟੀਰੀਆ ਸਰੀਰ ਉੱਤੇ ਹਮਲਾ ਕਰ ਦਿੰਦੇ ਹਨ ਅਤੇ ਸਰੀਰ ਦੀ ਪ੍ਰਤੀਰੋਧਕ ਪ੍ਰਤੀਕਿਰਿਆ ਨੂੰ ਹਾਵੀ ਕਰ ਦਿੰਦੇ ਹਨ, ਤਾਂ ਉਹ ਖੂਨ ਦੇ ਪ੍ਰਵਾਹ ਰਾਹੀਂ ਵੱਖ-ਵੱਖ ਅੰਗਾਂ ਤੱਕ ਆਪਣਾ ਰਸਤਾ ਵੀ ਲੱਭ ਸਕਦੇ ਹਨ।
ਚਿੰਨ੍ਹ ਅਤੇ ਲੱਛਣ
ਲੁਕਵੇਂ ਟੀਬੀ ਦੀ ਲਾਗ ਵਾਲੇ ਲੋਕਾਂ ਵਿੱਚ ਕੋਈ ਲੱਛਣ ਨਹੀਂ ਹੁੰਦੇ, ਉਹ ਬਿਮਾਰ ਮਹਿਸੂਸ ਨਹੀਂ ਕਰਦੇ ਅਤੇ ਦੂਜਿਆਂ ਨੂੰ ਸੰਕਰਮਿਤ ਨਹੀਂ ਕਰ ਸਕਦੇ। ਹਾਲਾਂਕਿ, ਉਹ ਮੈਨਟੌਕਸ ਸਕਿਨ ਟੈਸਟ ਲਈ ਸਕਾਰਾਤਮਕ ਟੈਸਟ ਕਰਦੇ ਹਨ। ਲੁਪਤ ਟੀਬੀ ਦਾ ਇਲਾਜ ਮਹੱਤਵਪੂਰਨ ਹੈ ਕਿਉਂਕਿ ਇਹ ਕਿਰਿਆਸ਼ੀਲ ਹੋ ਸਕਦਾ ਹੈ, ਖਾਸ ਤੌਰ ‘ਤੇ ਜੇ ਇਮਿਊਨ ਸਿਸਟਮ ਕਿਸੇ ਕਾਰਨ ਕਰਕੇ ਘਟ ਰਿਹਾ ਹੈ, ਜਿਸ ਵਿੱਚ ਪੋਸ਼ਣ ਸੰਬੰਧੀ ਕਮੀਆਂ ਜਾਂ ਇਨਫੈਕਸ਼ਨ ਸ਼ਾਮਲ ਹਨ। ਐੱਚ.ਆਈ.ਵੀ.
ਇੱਕ ਸਰਗਰਮ ਲਾਗ ਦੇ ਮਾਮਲੇ ਵਿੱਚ, ਲੱਛਣ ਪ੍ਰਭਾਵਿਤ ਅੰਗ ਦੇ ਅਨੁਸਾਰ ਵੱਖ-ਵੱਖ ਹੋ ਸਕਦੇ ਹਨ। ਜੇਕਰ ਫੇਫੜੇ ਪ੍ਰਭਾਵਿਤ ਹੁੰਦੇ ਹਨ, ਤਾਂ ਲੱਛਣ ਹਨ:
ਖੰਘ 2 ਤੋਂ 3 ਹਫ਼ਤਿਆਂ ਅਤੇ ਉਸ ਤੋਂ ਬਾਅਦ ਬਣੀ ਰਹਿੰਦੀ ਹੈ, ਜੋ ਆਮ ਤੌਰ ‘ਤੇ ਸਵੇਰ ਵੇਲੇ ਬਦਤਰ ਹੁੰਦੀ ਹੈ
ਛਾਤੀ ਵਿੱਚ ਦਰਦ,ਥੁੱਕ ਵਿੱਚ ਖੂਨ (ਖੰਘਣ ਜਾਂ ਗਲਾ ਸਾਫ਼ ਕਰਨ ਵੇਲੇ ਪੈਦਾ ਹੁੰਦੀ ਬਲਗ਼ਮ ਅਤੇ ਲਾਰ),
ਬੇਦਰਦਤਾ,ਰੀੜ੍ਹ ਦੀ ਤਪਦਿਕ ਦਾ ਕਾਰਨ ਬਣ ਸਕਦਾ ਹੈ ਪਿਠ ਦਰਦ, ਅਤੇ ਪਿਸ਼ਾਬ ਵਿੱਚ ਖੂਨ ਗੁਰਦਿਆਂ ਵਿੱਚ ਤਪਦਿਕ ਦੇ ਕਾਰਨ ਹੋ ਸਕਦਾ ਹੈ।
ਦਿਮਾਗ ਵਿੱਚ ਟੀਬੀ ਸਿਰ ਦਰਦ, ਗਰਦਨ ਵਿੱਚ ਅਕੜਾਅ, ਉਲਝਣ, ਉਲਟੀਆਂ, ਇੱਕ ਬਦਲੀ ਹੋਈ ਮਾਨਸਿਕ ਸਥਿਤੀ, ਦੌਰੇ ਅਤੇ ਤੰਤੂਆਂ ਨਾਲ ਸਬੰਧਤ ਹੋਰ ਚਿੰਨ੍ਹ ਅਤੇ ਲੱਛਣ।
ਆਮ ਤੌਰ ‘ਤੇ, ਕਿਸੇ ਵੀ ਅੰਗ ਵਿੱਚ ਕਿਰਿਆਸ਼ੀਲ ਟੀਬੀ ਵਾਲੇ ਵਿਅਕਤੀ ਵਿੱਚ ਹੇਠ ਲਿਖੇ ਲੱਛਣ ਹੋ ਸਕਦੇ ਹਨ:
ਭਾਰ ਘਟਾਉਣਾ,ਭੁੱਖ ਦੀ ਘਾਟ, ਠੰਢ, ਹਲਕਾ ਬੁਖ਼ਾਰ
ਰਾਤ ਨੂੰ ਸੌਂਦੇ ਸਮੇਂ ਪਸੀਨਾ ਆਉਂਦਾ ਹੈ, ਭਾਵੇਂ ਮੌਸਮ ਠੰਡਾ ਹੋਵੇ
ਜੇਕਰ TB ਦਾ ਸ਼ੱਕ ਹੈ, ਤਾਂ ਤੁਹਾਨੂੰ ਕੀ ਕਰਨਾ ਚਾਹੀਦਾ ਹੈ? ਜੇਕਰ ਤੁਸੀਂ ਜਾਂ ਤੁਹਾਡੇ ਕਿਸੇ ਜਾਣਕਾਰ ਨੂੰ ਇਹਨਾਂ ਲੱਛਣਾਂ ਵਿੱਚੋਂ ਕੋਈ ਵੀ ਅਨੁਭਵ ਹੋ ਰਿਹਾ ਹੈ, ਜਾਂ ਇਹ ਸੋਚਣ ਦਾ ਕਾਰਨ ਹੈ ਕਿ ਉਹ ਟੀਬੀ ਦੇ ਸੰਪਰਕ ਵਿੱਚ ਆ ਗਿਆ ਹੈ, ਤਾਂ ਉਹਨਾਂ ਨੂੰ ਇੱਕ ਡਾਕਟਰ ਅਤੇ ਜਨਤਕ ਸਿਹਤ ਅਧਿਕਾਰੀਆਂ ਤੋਂ ਸਲਾਹ ਲੈਣੀ ਚਾਹੀਦੀ ਹੈ। ਚਮੜੀ ਅਤੇ ਥੁੱਕ (ਖੰਘਣ ਵੇਲੇ ਪੈਦਾ ਹੁੰਦੀ ਬਲਗ਼ਮ) ਦਾ ਇੱਕ ਟੈਸਟ ਕੀਤਾ ਜਾਵੇਗਾ।
ਜਿਨ੍ਹਾਂ ਲੋਕਾਂ ਨੇ ਟੀਬੀ ਦੇ ਵਿਰੁੱਧ ਬੀਸੀਜੀ ਵੈਕਸੀਨ ਲਈ ਹੈ, ਜੋ ਕਿ ਭਾਰਤ ਵਿੱਚ ਜਨਮ ਵੇਲੇ ਲਾਜ਼ਮੀ ਹੈ, ਟੀਬੀ ਨਾਲ ਸੰਕਰਮਿਤ ਨਾ ਹੋਣ ਦੇ ਬਾਵਜੂਦ ਇੱਕ “ਪਾਜ਼ਿਟਿਵ” ਸਕਿਨ ਟੈਸਟ ਹੋ ਸਕਦਾ ਹੈ। ਸਕਿਨ ਟੈਸਟ ਦੇਣ ਤੋਂ ਦੋ ਦਿਨ ਬਾਅਦ ਦੁਬਾਰਾ ਜਾਂਚ ਕਰਨ ਦੀ ਜ਼ਰੂਰਤ ਹੋਏਗੀ। ਜੇਕਰ ਥੁੱਕ ਦਾ ਨਮੂਨਾ ਪ੍ਰਦਾਨ ਕੀਤਾ ਜਾਂਦਾ ਹੈ, ਤਾਂ ਨਤੀਜਿਆਂ ਵਿੱਚ ਜ਼ਿਆਦਾ ਸਮਾਂ ਲੱਗ ਸਕਦਾ ਹੈ ਕਿਉਂਕਿ ਉਹਨਾਂ ਨੂੰ ਪ੍ਰਯੋਗਸ਼ਾਲਾ ਟੈਸਟ ਲਈ ਭੇਜਣ ਦੀ ਲੋੜ ਹੁੰਦੀ ਹੈ।
ਟੀਬੀ ਦਾ ਇਲਾਜ
ਭਾਵੇਂ ਕਿ ਟੀਬੀ ਵੱਡੇ ਪੱਧਰ ‘ਤੇ ਇਲਾਜਯੋਗ ਹੈ, ਟੀਬੀ ਭਾਰਤ ਵਿੱਚ ਮੌਤ ਦੇ ਪ੍ਰਮੁੱਖ ਕਾਰਨਾਂ ਵਿੱਚੋਂ ਇੱਕ ਹੈ ਅਤੇ ਹਰ ਤਿੰਨ ਮਿੰਟ ਵਿੱਚ ਲਗਭਗ ਦੋ ਮੌਤਾਂ ਹੁੰਦੀਆਂ ਹਨ।
ਟੀਬੀ ਦੀ ਲਾਗ ਦਾ ਇਲਾਜ ਐਂਟੀਬਾਇਓਟਿਕਸ ਨਾਲ ਕੀਤਾ ਜਾ ਸਕਦਾ ਹੈ ਅਤੇ ਲਗਭਗ ਹਮੇਸ਼ਾ ਸਹੀ ਇਲਾਜ ਨਾਲ ਇਲਾਜ ਕੀਤਾ ਜਾ ਸਕਦਾ ਹੈ। ਸਹੀ ਇਲਾਜ ਘੱਟੋ-ਘੱਟ ਛੇ ਮਹੀਨਿਆਂ ਲਈ ਇੱਕ ਨਿਯਮ ਹੋਵੇਗਾ। ਬਹੁਤ ਵਾਰ, ਇਸ ਰੁਟੀਨ ਦਾ ਪਾਲਣ ਨਹੀਂ ਕੀਤਾ ਜਾਂਦਾ ਹੈ।
ਜਾਂ ਤਾਂ ਪੈਸਿਆਂ ਦੀ ਘਾਟ ਕਾਰਨ ਜਾਂ ਭੁੱਲਣ ਜਾਂ ਲਾਪਰਵਾਹੀ ਕਾਰਨ, ਜੇ ਮਰੀਜ਼ ਚੰਗਾ ਮਹਿਸੂਸ ਕਰਨ ਲੱਗੇ ਤਾਂ ਛੇ ਮਹੀਨੇ ਪਹਿਲਾਂ ਦਵਾਈ ਬੰਦ ਕਰ ਸਕਦੇ ਹਨ। ਹਾਲਾਂਕਿ, ਇਲਾਜ ਬੰਦ ਕਰਨ ਦੇ ਗੰਭੀਰ ਨਤੀਜੇ ਨਿਕਲਦੇ ਹਨ ਕਿਉਂਕਿ ਟੀਬੀ ਦੇ ਬੈਕਟੀਰੀਆ ਬਿਹਤਰ ਢੰਗ ਨਾਲ ਸਿੱਖ ਸਕਦੇ ਹਨ ਕਿ ਮਿਆਰੀ ਦਵਾਈਆਂ ਦਾ ਵਿਰੋਧ ਕਿਵੇਂ ਕਰਨਾ ਹੈ ਜਦੋਂ ਸਿਰਫ਼ ਅੰਸ਼ਕ ਕੋਰਸ ਕੀਤਾ ਜਾਂਦਾ ਹੈ। ਟੀਬੀ ਦਾ ਮਿਆਰੀ ਇਲਾਜ ਐਥਮਬੁਟੋਲ, ਆਈਸੋਨੀਆਜ਼ੀਡ, ਪਾਈਰਾਜ਼ੀਨਾਮਾਈਡ, ਰਿਫਾਮਪਿਸਿਨ ਅਤੇ ਸਟ੍ਰੈਪਟੋਮਾਈਸਿਨ ਦੀਆਂ “ਪਹਿਲੀ-ਲਾਈਨ” ਦਵਾਈਆਂ ‘ਤੇ ਨਿਰਭਰ ਕਰਦਾ ਹੈ। ਜਦੋਂ ਇਹ ਹੁਣ ਅਸਰਦਾਰ ਨਹੀਂ ਹਨ, ਤਾਂ ਉਹਨਾਂ ਦਵਾਈਆਂ ‘ਤੇ ਭਰੋਸਾ ਕਰਨਾ ਜ਼ਰੂਰੀ ਹੋ ਜਾਂਦਾ ਹੈ ਜਿਨ੍ਹਾਂ ਦੀ ਲਾਗਤ ਜ਼ਿਆਦਾ ਹੁੰਦੀ ਹੈ, ਲੰਬੇ ਸਮੇਂ ਲਈ (24 ਮਹੀਨਿਆਂ ਤੱਕ) ਲੈਣ ਦੀ ਲੋੜ ਹੁੰਦੀ ਹੈ ਅਤੇ ਸਰੀਰ ‘ਤੇ ਸਖ਼ਤ ਹਨ।
ਟੀਬੀ ਦੇ ਇਲਾਜ ਨੂੰ ਅਕਸਰ ‘ਡੌਟਸ’ ਕਿਹਾ ਜਾਂਦਾ ਹੈ ਜਿਸਦਾ ਅਰਥ ਹੈ ਡਾਇਰੈਕਟਲੀ ਅਬਜ਼ਰਵਡ ਟ੍ਰੀਟਮੈਂਟ, ਛੋਟਾ ਕੋਰਸ, ਜੋ ਕਿ ਵਿਸ਼ਵ ਸਿਹਤ ਸੰਗਠਨ ਦਾ ਵਿਸ਼ਵ ਭਰ ਦੇ ਦੇਸ਼ਾਂ ਵਿੱਚ ਟੀਬੀ ਦੇ ਇਲਾਜ ਦਾ ਆਯੋਜਨ ਕਰਨ ਦਾ ਆਧਾਰ ਹੈ। ਭਾਰਤ ਦਾ DOTS ਪ੍ਰੋਗਰਾਮ ਕੇਂਦਰੀ ਸਿਹਤ ਅਤੇ ਪਰਿਵਾਰ ਭਲਾਈ ਮੰਤਰਾਲੇ ਦੇ ਅੰਦਰ ਟੀਬੀ ਕੰਟਰੋਲ (ਟੀਬੀਸੀ) ਦੁਆਰਾ ਕੀਤਾ ਜਾਂਦਾ ਹੈ। “ਸਿੱਧੀ ਤੌਰ ‘ਤੇ ਨਿਰੀਖਣ ਕੀਤੀ ਥੈਰੇਪੀ” ਇਸ ਤੱਥ ਨੂੰ ਦਰਸਾਉਂਦੀ ਹੈ ਕਿ ਜਦੋਂ ਮਰੀਜ਼ ਪਾਲਣਾ ਨੂੰ ਯਕੀਨੀ ਬਣਾਉਣ ਲਈ ਆਪਣੀ ਟੀਬੀ ਦੀ ਦਵਾਈ ਲੈਂਦਾ ਹੈ ਤਾਂ ਇੱਕ ਡਾਕਟਰ ਜਾਂ ਮਨੋਨੀਤ ਨਿਰੀਖਕ ਮੌਜੂਦ ਹੋਵੇਗਾ। ਇਲਾਜ ਨੂੰ ‘ਛੋਟਾ ਕੋਰਸ’ ਕਿਹਾ ਜਾਂਦਾ ਹੈ ਕਿਉਂਕਿ ਟੀ.ਬੀ ਦਾ ਇਲਾਜ ਛੇ ਮਹੀਨਿਆਂ ਤੱਕ ਰਹਿੰਦਾ ਹੈ।
ਜਦੋਂ ਸਹੀ ਢੰਗ ਨਾਲ ਇਲਾਜ ਕੀਤਾ ਜਾਂਦਾ ਹੈ, ਤਾਂ ਟੀਬੀ ਦੇ ਜ਼ਿਆਦਾਤਰ ਕੇਸ ਠੀਕ ਹੋ ਜਾਂਦੇ ਹਨ ਅਤੇ ਇਸ ਨਾਲ ਮਰਨ ਦਾ ਖ਼ਤਰਾ ਬਹੁਤ ਘੱਟ ਹੁੰਦਾ ਹੈ। ਪਰ, ਸਹੀ ਇਲਾਜ ਦੇ ਬਿਨਾਂ, ਤਪਦਿਕ ਨਾਲ ਬਿਮਾਰ ਦੋ-ਤਿਹਾਈ ਲੋਕਾਂ ਦੀ ਮੌਤ ਹੋ ਜਾਵੇਗੀ।
*ਸਾਬਕਾ ਡਿਪਟੀ ਮੈਡੀਕਲ ਕਮਿਸ਼ਨਰ
98156 29301



